Gamma Knife Clinic
Mumbai , India
ph: +919821313033
gamma
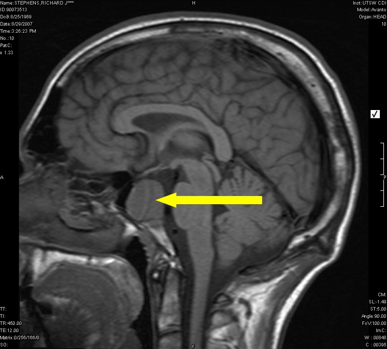
The bean-sized Pituitary gland or "master gland" is extremely important in regulating the function of many other glands and organs of the body . It lies behind and between the eyes at the base of the brain, just beneath the hypothalamus to which it is connected by a thin stalk.
The pituitary gland is controlled by substances (releasing or inhibitory factors) that are sent by the hypothalamus. The pituitary gland, in turn, secretes hormones into the bloodstream. Most of these hormones are chemical messengers that instruct various glands to secrete their own hormones. Hormones control or regulate many different bodily functions.
Non-functioning or non-secreting tumors are characteristically slow-growing. If they are not compressing the visual nerves, such tumors are often merely observed.Microsurgery is commonly used to treat a non-functioning tumor. The neurosurgeon may use the transsphenoidal route at the base of the cranium or a craniotomy (removal of part of the skull).
In selected cases, Gamma Knife Radiosurgery has the advantage of delivering a high dose of radiation in a single fraction while minimizing the risk of damage to the nearby visual nerves and normal pituitary gland. Also, Gamma Knife offers the convenience of a single treatment compared to several weeks of fractionated radiation therapy. Gamma Knife radiosurgery can be utilized as either the primary or secondary treatment for pituitary tumors.
Patients with functioning or homone-secreting tumors generally require immediate relief of their symptoms, which may include hypertension and diabetes. Microsurgery is usually used as the primary treatment.
When a functioning tumor is incompletely removed or recurs, further treatment is imperative to try to stop excess hormone secretion. In these cases, the residual tumor is usually small and can often be visualized on an MRI. Gamma Knife radiosrugery is ideally suited for this type of situation
Dr.Sanjay Mongia , Gamma Knife Clinic . EMAIL : gamma@gammaknifeonline.in Ph: 9821313033 . All rights reserved.
BLOG : http://gammaknifeasia.blogspot.com/
Gamma Knife Clinic
Mumbai , India
ph: +919821313033
gamma