Gamma Knife Clinic
Mumbai , India
ph: +919821313033
gamma
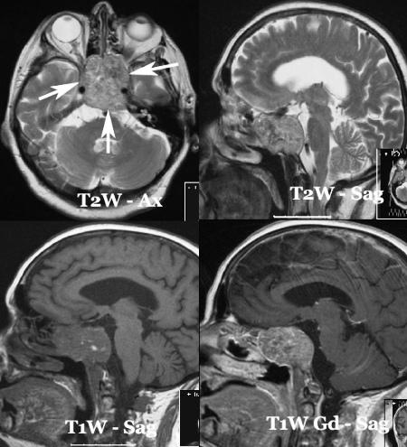
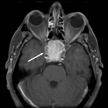
Chordoma is a rare slow-growing malignant neoplasm thought to arise from cellular remnants of the notochord. Chordomas can arise from bone in the skull base and anywhere along the spine. The two most common locations are cranially at the clivus and in the sacrum at the bottom of the spine.
http://chordomatumor.blogspot.com/2011/03/chordoma-treatment.html
http://www.gammaknife.in/treatmentprocess.html
There are three histological variants of chordoma: classical, chondroid and dedifferentiated. Chondroid chordomas appear to have a more indolent clinical course . In most cases, complete surgical resection followed by radiation therapy offers the best chance of long-term control. Incomplete resection of the primary tumor makes controlling the disease more difficult and increases the odds of recurrence.Chordomas are relatively radioresistant, requiring high doses of radiation to be controlled
Email: gamma@gammaknifeonline.in
http://chordomatumor.blogspot.com/2011/03/chordoma-treatment.html
Dr.Sanjay Mongia , Gamma Knife Clinic . EMAIL : gamma@gammaknifeonline.in Ph: 9821313033 . All rights reserved.
BLOG : http://gammaknifeasia.blogspot.com/
Gamma Knife Clinic
Mumbai , India
ph: +919821313033
gamma