Gamma Knife Clinic
Mumbai , India
ph: +919821313033
gamma
Meningiomas make up about one-fifth of all primary intracranial tumors. Meningiomas are usually slow growing. Approximately a quarter of patients with meningioma present with epilepsy. In the remainder the effects of the pressure of the growing tumor (headache, vomiting, etc.) often become evident first.
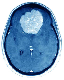
Simply, meningiomas are tumors that arise from the leptomeninges (tissue that serves as the lining of the brain). They develop from cells of arachnoid granulations, and they can occur throughout the supratentorial and infratentorial compartment. They are generally benign tumors, and only rarely do they undergo malignant transformation.
The "ideal treatment" for meningiomas continues to evolve as new technologies give rise to new treatment options. Open surgery has long been regarded as the standard treatment for large or symptomatic meningiomas.
More recently, interest has surged in the use of Gamma Knife Radiosurgery to treat meningiomas. The last decade has seen exponential growth in the number of meningiomas (and other brain tumors) treated with Radiosurgery.
Gamma Knife has proved to be a highly successful treatment for meningiomas. Thousands of patients have been treated worldwide.
Email: gamma@gammaknifeonline.in
Blog :http://gammaknifeasia.blogspot.com/
http://meningioma1.blogspot.com/2011/03/meningioma.html
Dr.Sanjay Mongia , Gamma Knife Clinic . EMAIL : gamma@gammaknifeonline.in Ph: 9821313033 . All rights reserved.
BLOG : http://gammaknifeasia.blogspot.com/
Gamma Knife Clinic
Mumbai , India
ph: +919821313033
gamma